Roma. Ernia diaframmatica in un feto ancora nella pancia della mamma. L’intervento in utero eseguito presso l’Ospedale Bambino Gesù
ROMA – Un palloncino posizionato nella trachea del feto, ancora nella pancia della mamma, per consentire lo sviluppo dei polmoni ed aumentare le chance di sopravvivenza.
La delicata procedura sul feto di 28 settimane, affetto da una grave forma di ernia diaframmatica congenita, è stata portata a termine con successo da un’équipe dell’Ospedale Pediatrico Bambino Gesù in collaborazione con gli specialisti dell’Ospedale Policlinico di Milano (Clinica Mangiagalli) e dell’Ospedale San Pietro – Fatebenefratelli di Roma.
Mamma e personale sanitario sono stati sottoposti a tutte le procedure di sicurezza previste dai piani per l’emergenza Covid-19 e per la verifica della negatività al virus. È il primo intervento del genere eseguito nell’Ospedale Pediatrico della Santa Sede.
L’ernia diaframmatica congenita
È una patologia rara (l’incidenza è di 1:2500 – 1:4000 nati vivi) che in Italia interessa circa 150-180 bambini all’anno. È caratterizzata da un difetto nel diaframma, il muscolo che separa il torace dall’addome, che provoca la “risalita” dei visceri addominali (intestino, stomaco, milza, fegato) nella cavità toracica. La spinta degli organi risaliti nel torace comprime i polmoni, compromettendone lo sviluppo (ipoplasia polmonare) e provocando l’aumento della pressione nel circolo polmonare (ipertensione polmonare). Il rischio di mortalità associato a questa patologia varia a seconda della severità, che viene determinata sulla base di criteri ecografici prenatali. Nei casi più gravi può superare il 90%.
Intervento in fetoscopia
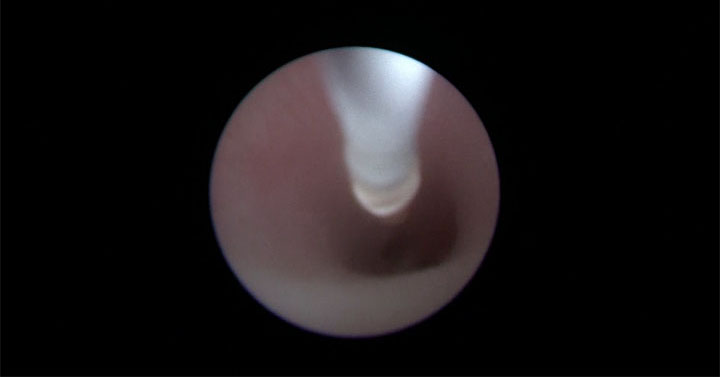
Il 17 Aprile scorso, nel comparto operatorio del Bambino Gesù al Gianicolo, l’équipe multidisciplinare dei tre Ospedali (ginecologi-ostetrici, neonatologi, chirurghi feto-neonatali, anestesisti, infermieri specializzati) ha eseguito la procedura endoscopica mininvasiva in utero in circa 45 minuti, senza complicanze.
Con la mamma in anestesia locale ed il feto “sedato” con una puntura sulla coscia, è stato inserito un fetoscopio (sonda molto sottile dotata di telecamera a fibre ottiche) nell’addome della gestante. Passando per la bocca del feto (lungo appena 35cm per 1,2kg di peso), è stata raggiunta la trachea dove è stato posizionato e gonfiato un minuscolo palloncino, un “tappo” che blocca la fuoriuscita del liquido normalmente prodotto dal polmone. L’accumulo del fluido all’interno dei polmoni, che nei casi di ernia diaframmatica sono di dimensioni ridotte, li mantiene in espansione e ne favorisce lo sviluppo. Circa un mese prima del parto, il palloncino sarà rimosso con la stessa procedura per permettere al neonato di avere la trachea libera e quindi di respirare normalmente al momento della nascita. A distanza di 10 giorni dall’intervento, i controlli ecografici hanno rilevato un significativo aumento del volume dei polmoni fetali.
La sperimentazione internazionale “Total Trial”
L’occlusione della trachea fetale mediante fetoscopia è l’unico intervento in utero praticato nel mondo, in pochissimi centri di riferimento, per il trattamento dell’ernia diaframmatica congenita ad altissimo rischio.
In Italia viene effettuato in modo esperto e standardizzato (circa 10 interventi all’anno) dall’équipe dell’Ospedale Policlinico di Milano, con il quale il Bambino Gesù ha avviato già da alcuni anni una collaborazione clinico-scientifica rivolta proprio alla gestione di questa patologia in fase prenatale. La procedura comporta dei rischi (rottura delle membrane e/o parto prematuro nel 25-30% dei casi), ma l’esperienza clinica internazionale indica un potenziale beneficio sulla sopravvivenza (che può aumentare anche del 20-30%) dei neonati affetti dalle forme più gravi di ernia diaframmatica. Queste evidenze preliminari sono in fase di verifica in un trial multicentrico internazionale, il “TOTAL Trial”, cui hanno partecipato, per l’Italia, sia Bambino Gesù che Mangiagalli.
Collaborazione tra centri di eccellenza per i casi complessi
Alla gestione di questo caso molto complesso hanno collaborato tre Centri di riferimento nel campo dell’ostetricia e della medicina materno-fetale, della chirurgia neonatale e della neonatologia (San Pietro – Fatebenefratelli, Bambino Gesù e Policlinico di Milano), con équipe multidisciplinari altamente specializzate composte da ostetrici e ginecologi esperti di medicina fetale, neonatologi intensivisti, anestesisti, chirurghi neonatali e personale infermieristico.
In particolare, l’équipe ostetrica del San Pietro ha curato la preparazione della gestante nella fase pre-intervento e il monitoraggio post-operatorio, garantendo allo stesso tempo la presenza in sala operatoria per la gestione di eventuali complicanze (rottura precoce delle membrane e possibile parto in urgenza);
Gli ostetrici esperti in interventistica fetale dell’Ospedale Policlinico di Milano, insieme ai ginecologi del Bambino Gesù, hanno eseguito la procedura (nota come “plug tracheale”);
L’equipe multispecialistica del Bambino Gesù, che ha preso in carico la mamma fin dal momento della diagnosi di ernia diaframmatica, si occuperà anche del monitoraggio del feto, del parto e dell’intervento di correzione del difetto del diaframma subito dopo la nascita.
Un punto nascita per bambini ad alto rischio
Il Bambino Gesù copre tutte le specialità mediche e chirurgiche neonatali e pediatriche, compresa la diagnostica prenatale e la ginecologia, ma non ha un reparto di degenza ostetrica.
Con l’autorizzazione della Regione Lazio e il supporto dell’Ospedale San Pietro – Fatebenefratelli, dal 2017 all’interno dell’Ospedale Pediatrico della Santa Sede è operativo un punto nascita per i casi ad alta complessità che possono richiedere interventi in emergenza al momento della nascita.
L’obiettivo della convenzione è rendere immediatamente disponibili, in un’unica sede, tutte le più avanzate competenze ostetriche e medico-chirurgiche neonatali, evitando a nascituri particolarmente vulnerabili i rischi del trasporto da una struttura all’altra.
Dal 2017 ad oggi, hanno partorito al Bambino Gesù circa 60 mamme con l’assistenza dell’équipe di specialisti dei due Ospedali.
La nascita del bimbo trattato con l’intervento in fetoscopia e il successivo intervento chirurgico per la correzione definitiva del difetto diaframmatico, sono previsti nel mese di giugno 2020, sempre al Bambino Gesù.

















